뉴스 센터 | 한국

9월 22, 2025

Philips Unveils MR SmartSpeed Precise with Dual AI Engine at KCR

Seoul, Republic of Korea – Philips Korea, a leader in health technology (Country Leader Nak-hoon Choi, www.philips.co.kr) announced the launch of its dual AI engine-based MR technology, "SmartSpeed Precise." This new technology applies Philips’ two proprietary AI algorithms to efficiently support clinicians’ diagnostic workflows and provide high-quality images, thereby supporting the clinical diagnosis process.


Magnetic Resonance Imaging (MRI) is a precision imaging technology critical for diagnosing and treatment decision-making process for severe diseases. With the rising number of patients with chronic conditions, demand for imaging is increasing sharply. This has driven growing interest in medical AI technologies that can provide faster scanning, higher resolution, and advanced data processing.


According to Philips’ "Future Health Index 2025 South Korea report" released this year, Korean healthcare professionals believe that digital health technologies, including AI and predictive analytics, will contribute to "saving lives by enabling earlier intervention (90%)," "reducing acute or emergency medical procedures/interventions (86%)," and "reducing hospital admissions (84%)." In response to these trends, Philips has leveraged its long-standing MR expertise to apply dual AI algorithms to its reconstruction platform, introducing technology that enhances scanning speed and image quality.

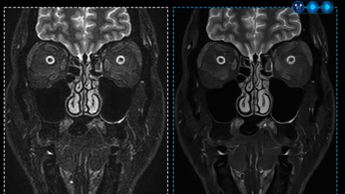
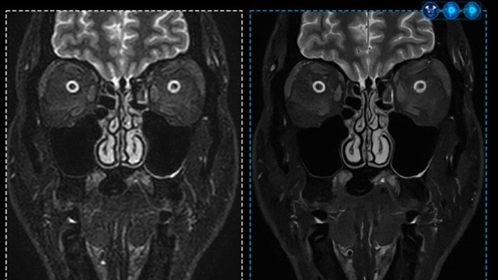
Fast scanning and high-quality imaging: AI reconstruction platform — "SmartSpeed Precise"

SmartSpeed Precise integrates a dual AI engine to Philips’ MR acceleration technology "Compressed SENSE," improving both scanning speed and image quality. Working from the raw data stage, a data-balancing algorithm and proprietary AI reconstruction algorithm filter essential signals while eliminating unnecessary noise during repeated reconstruction.


By combining enhanced ‘Super Resolution Algorithms’ and dual AI engines, the technology improves image resolution and signal-to-noise ratio (SNR), enhances anti-ringing features, and increases sharpness by up to 80%. This dual AI-based image reconstruction delivers scanning up to three times faster and significantly improved image quality compared to conventional methods. It supports all anatomical areas and is compatible with 97% of MR protocols, including 2D, 3D, and 4D scanning.


In particular, the integrated dual AI reconstruction enables a single parameter workflow, allowing healthcare professionals to easily enhance image quality with just one click. It also allows users to set their preferred denoising levels, thereby supporting convenience in automated workflows.

 

Philips unveils "SmartSpeed Precise" at KCR 2025

Philips will present "SmartSpeed Precise" at the 81st annual meeting of the Korean Congress of Radiology (KCR 2025) at COEX, Seoul, from September 24 to 27 (G-02 booth), alongside other diagnostic imaging devices: MR 7700 3.0T, Ingenia Ambition 1.5T, Spectral CT 7500, CT 5300, EPIQ Elite VM 12.0, and Azurion 7m20 FlexArm.


On the opening day of KCR, September 24, Philips will host a luncheon symposium titled “Dual AI Driving Precision in MRI: SmartSpeed Precise” in Conference Room 103 at COEX. Professor Ji-Hye Kim from the Department of Radiology at Samsung Medical Center will serve as the chair. Gwenael Herigault, Clinical Leader MR at Philips, will give a presentation on “Shaping Precision Imaging with Dual AI Innovation.” Following this, Professor Julian Alexander Luetkens of University Hospital Bonn will present “SmartSpeed Precise: Clinical Value of Deep Learning-Based High-Resolution MRI.”

로열 필립스(Royal Philips; 필립스)

로열 필립스(NYSE: PHG, AEX: PHIA)는 헬스 테크놀로지 분야 선도 기업으로, 사람들이 더욱 건강한 삶과 웰빙(well-being)을 영위하도록 – 건강한 생활에서부터 질병의 예방, 조기 진단, 치료, 가정 내 관리에 이르는 헬스케어 전 과정(Health Continuum)에서 전방위적 솔루션을 제공한다. 특히, 선진 기술력에 임상 및 소비자 분야에서 쌓은 인사이트를 더해 통합적인 솔루션을 제시하는데 주력하고 있다. 필립스는 영상 진단 장비, 혈관 조영 및 인터벤션 (중재적 시술), 환자 모니터링 및 헬스 인포메틱스 분야뿐만 아니라, 소비자 건강 및 홈 헬스케어 분야에서도 시장을 선도한다. 네덜란드 암스테르담에 본사를 둔 필립스는 전 세계 120여 개 국에 걸쳐 약 78,000명의 임직원과 함께 헬스 테크놀로지 분야의 사업을 전개하고 있으며, 2021년에는 172억 유로의 매출을 기록했다. 필립스의 새로운 소식은 www.philips.com/newscenter를 통해서도 확인할 수 있다.

자세한 내용 읽기간단히 읽기

주제

연락처

harim image

Harim Hong

홍하림

Brand & Communications Manager, Korea

Tel: +82 (2) 709-1293

You are about to visit a Philips global content page

Continue

미디어 자산

이메일로 보도 자료 받기

You are about to visit a Philips global content page

Continue

당사 사이트는 최신 버전의 Microsoft Edge, Google Chrome 또는 Firefox에서 가장 잘 볼 수 있습니다.